Dental Implants
Request your Free consultation today!
Restore your oral functionality with dental implants in coral gables – South miami
Dental implants are a great way to replace missing teeth. Compared to the traditional fixed or removable bridges, implants offer a long term solution to missing teeth without affecting neighboring teeth. Dental implants are known to last decades if properly restored and properly maintained.
Advantages of dental implants
Look and Feel Natural
Long Lasting
Restores Oral Functionality
Improved Speech
Preserves Facial Features
Prevents Bone Loss
Our dental implant process
Our process of placing and restoring implants is completely digital. No need for uncomfortable dental impressions, as our Itero scanner captures the necessary anatomy of your mouth.
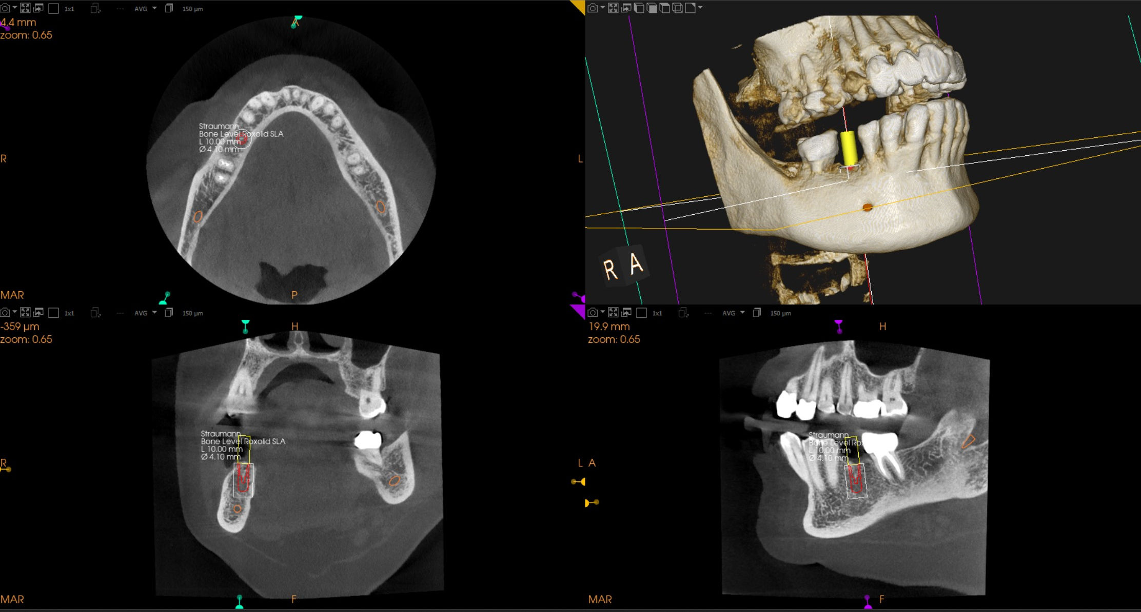
The process starts with a Cone Beam CT scan that captures the important anatomy of the site that needs a tooth replacement. Next, a light weight titanium implant is secured to the maxilla or mandible and a few months after this initial surgery, a prosthetic ceramic tooth can be fixed to the implant.
Precise dental implant planning with our 3D Cone Beam
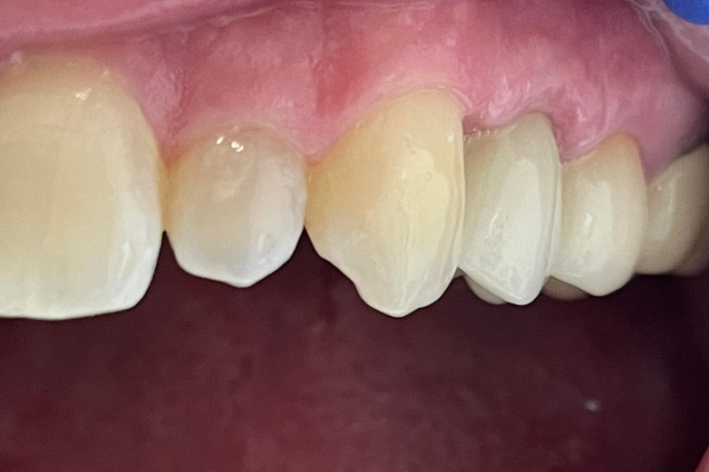
CHECK OUT THIS AWESOME RESULTS
(use cursor to move arrows left and right to see before and after images)

All-on-4 dental implant treatment

Posterior screw retained implants

Single tooth dental implant treatment
