Veneers – Smile Design
Request your Free consultation today!
Revitalize your smile with dental veneers in south miami
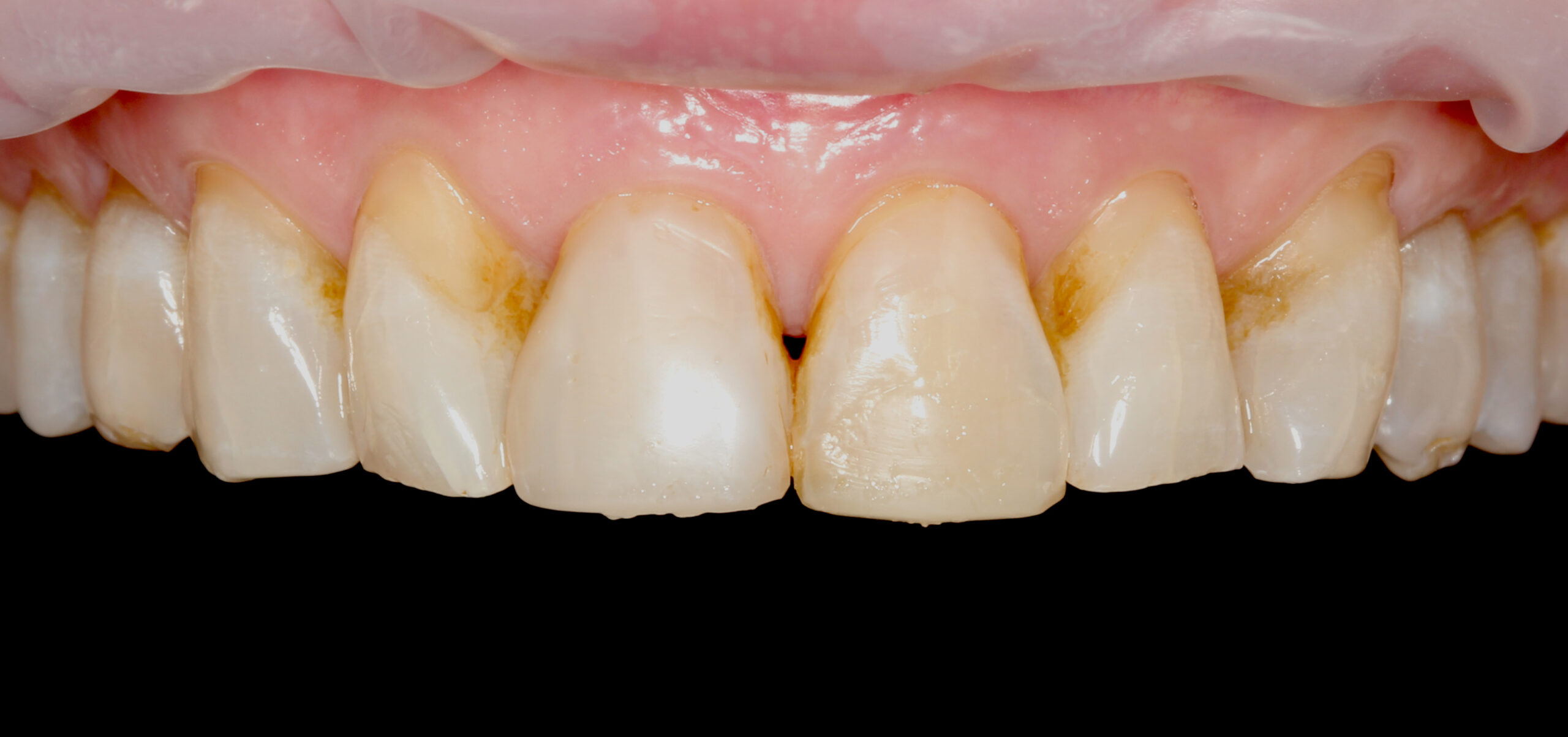
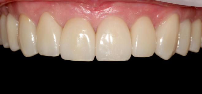
Dental veneers in South Miami offer a fast, effective way to correct a variety of dental imperfections. Whether you’re dealing with chipped, stained, misaligned, or uneven teeth, veneers can dramatically enhance your smile. Custom-made to match your natural teeth, veneers are thin shells bonded to the front surface of your teeth, creating a flawless, long-lasting appearance.
The procedure is minimally invasive and delivers immediate aesthetic improvements. South Miami dental professionals specialize in delivering beautiful, natural-looking results tailored to each patient’s needs. Regain your confidence and enjoy the benefits of a bright, balanced smile with expertly crafted dental veneers.
Dental Veneers can correct
Stained - Discolored Teeth
Chipped Teeth
Uneven - Misaligned Teeth
Gaps between Teeth
Minor Misaligned Teeth
Worn down Tooth
Dental Veneers Process
CHECK OUT THIS AWESOME RESULTS
