Invisalign®
Request your Free consultation today!
Invisalign® treatment in coral gables – south miami
One of the primary concerns people often have about dental braces is the aesthetic impact of the metalwork on their smile. Especially for adults, the prospect of wearing metal braces for long periods of time can be very discouraging. Invisalign® offers an almost invisible aligning system that straightens teeth fast and contains no metal.
Invisalign® treatment consists of a series of custom-made aligning trays. Dr. Gundian changes the trays every several weeks to fit the new tooth configuration. In addition to the reduced visual impact, Invisalign® aligning trays can be temporarily removed for important occasions – meaning that treatment duration is patient-controlled. A great number of people report complete satisfaction with both the Invisalign® treatment and the stunning results.
Invisalign® can correct
Advantages of invisalign® V.S traditional braces
Traditional dental braces, Invisalign® aligning trays and dental veneers are three different ways to perfect the alignment of the teeth. There are many different considerations to make when considering which treatment will be best, and each of these options works better in certain situations.
Invisalign® differs from traditional braces in that the aligning trays are fully removable. This means that more discipline and commitment is required from the patient. This is not usually a problem since the trays are comfortable and nearly invisible. Dr. Gundian can evaluate your case to see if you are a good candidate for Invisalign®
what does invisalign® treatment involve
First, the dentist needs to devise an initial treatment plan before creating the special aligning trays. Three-dimensional digital images are taken of the teeth and jaws. These images allow the dentist to move specific teeth on the screen, view the jaw from different angles, and also predict what these orthodontic changes . In essence, this technology can show how Invisalign® trays will change the facial aesthetics.
Once planning is complete, a unique set of aligners is made. The total amount of aligners required varies with each individual case ranging from 10 trays up to 30+.
what are some considerations when wearing your invisalign® aligners
Life with Invisalign® aligning trays may take several weeks to get used to. The trays should be worn constantly, except when eating and drinking. It is important to remove the trays when consuming food or drink because food can become trapped between the tray and the teeth, causing tooth decay.
Usually, new trays are necessary every two weeks and progress between appointments can be seen with the naked eye. There is no doubt that Invisalign® aligning trays have revolutionized orthodontics. Invisalign® is renowned for being both comfortable and effective.
If you have questions about Invisalign®, please feel free to contact us.
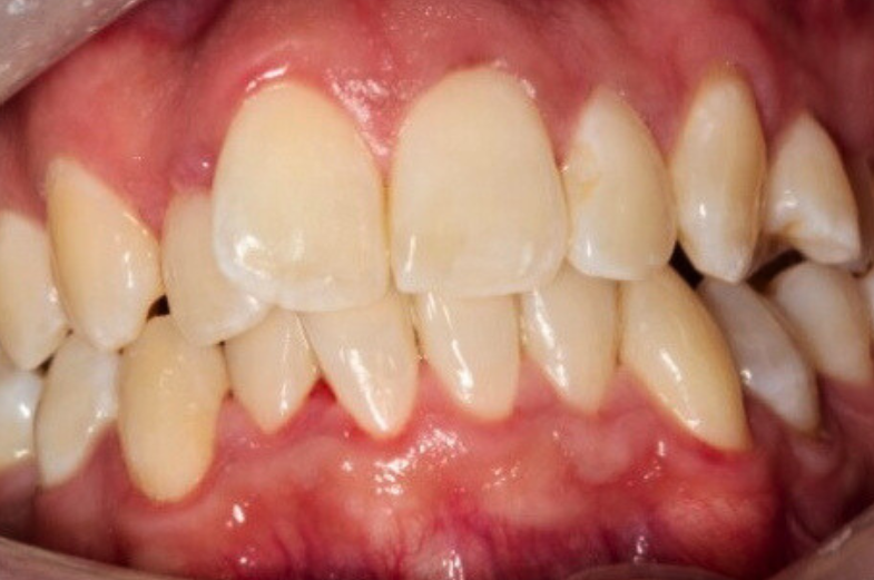
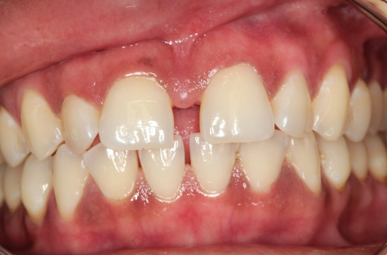
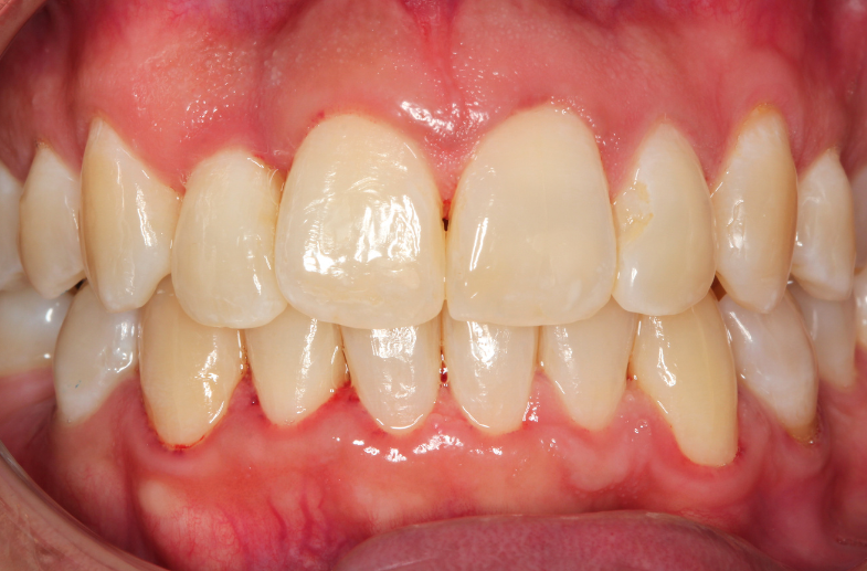
CHECK OUT THIS AWESOME RESULTS
(use cursor to move arrows left and right to see before and after images)


