zoom Teeth Whitening
Request your Free consultation today!
Brighten your smile with a Zoom® professional teeth whitening Treatment in South Miami – Coral Gables
Professional teeth whitening treatment is an effective way to revitalize your smile and boost your confidence. At Natural Smiles, we use Zoom whitening in either an in office setting or an at home formulation. This treatment can lighten your teeth by multiple shades in just one session. It targets stains caused by coffee, tea, smoking, and aging, restoring your teeth’s natural brightness.
Performed by our experienced dental professionals, the procedure is quick, comfortable, and tailored to your needs. Whether you have a special event or simply want a radiant smile every day, professional whitening offers lasting results that transform your appearance and enhance your overall oral health.
How does Teeth Whitening work
Professional teeth whitening works by using powerful bleaching agents, typically hydrogen peroxide , to break down stains and discoloration on the enamel and dentin. The treatment is usually performed in a dental office under controlled conditions for safety and effectiveness.
A special light or laser may be used to activate the whitening gel and accelerate the process. Patients often see noticeable results in just one session, making it a fast and effective way to brighten their smile
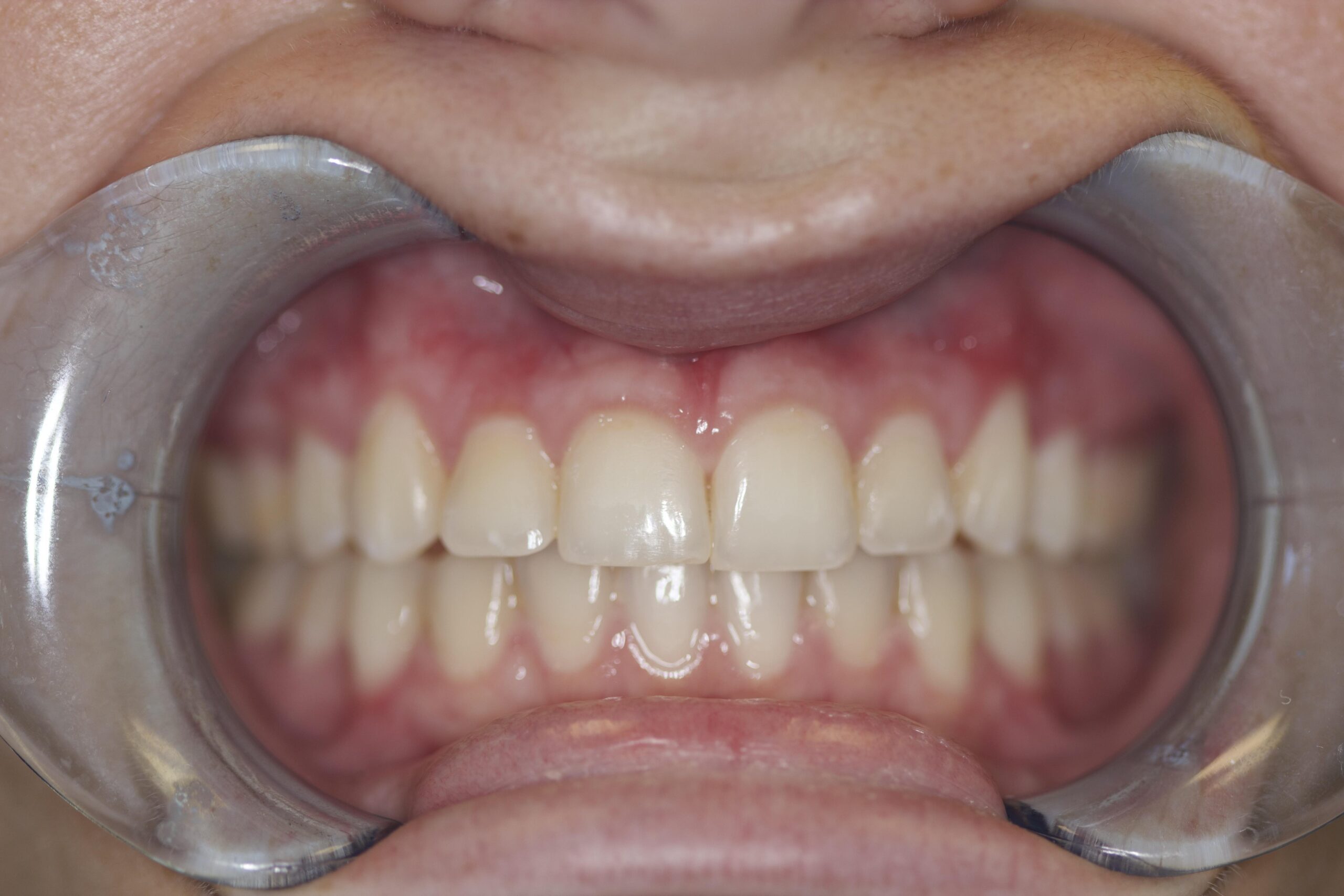
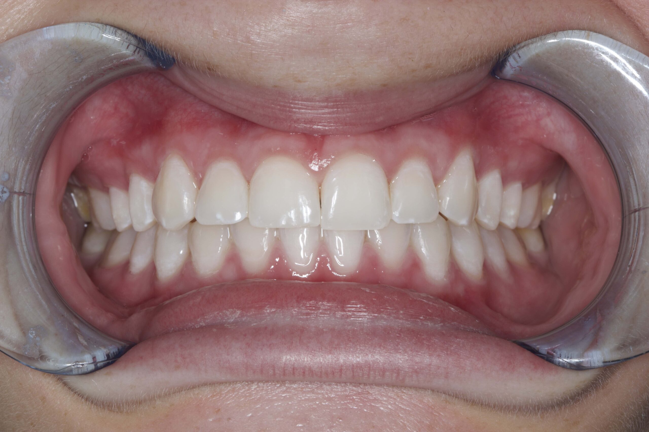
CHECK OUT THIS AWESOME RESULT
(use cursor to move arrows left and right to see before and after images)

