Root Canals
Request your Free consultation today!
Root Canal Treatment in South Miami
If you’re suffering from severe tooth pain in South Miami, root canal treatment may be the solution you need. Tooth pain does not always indicate that a root canal is needed, and proper diagnosis is key. At Natural Smiles, we focus on getting you out of pain quickly while making your comfort our top priority. Our experienced team does everything possible to ensure a pain-free experience from start to finish.
Using advanced technology and gentle techniques, we can save your natural tooth and relieve your discomfort in just one or two visits. We also love to use our strong network of root canal specialists in the area to ensure that you get the best outcome possible.
Call your root canal treatment dental office in South Miami – Coral Gables today.
Root Canal Process
A root canal is a dental procedure used to treat infection or damage inside a tooth’s pulp. It begins with the dentist numbing the area to ensure comfort. Then, a small opening is made in the tooth to access the infected pulp. Using specialized tools, the dentist carefully removes the damaged tissue and cleans the inner canals.
After thorough cleaning and shaping, the canals are filled with a biocompatible material to seal them and prevent future infection. Finally, the tooth is restored with a crown or filling, allowing it to function normally and relieving pain effectively.
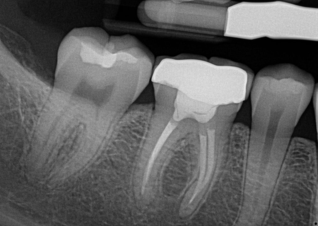
CHECK OUT THIS BEFORE AND AFTER CASE
Pre-Op Root Canal
Post-Op Root Canal
